施設紹介
![]() 外 観 |
|
![]() 待合室 |
![]() 待合室 |
![]() 診察室 |
![]() 生理検査室 |
最新鋭の検査機器
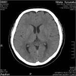
■頭部CT検査64列マルチスライスCT検査では、脳内出血やくも膜下出血、脳梗塞などがわかります。また、造影剤を使用することで、脳血管の立体的な三次元画像を作成する撮影が可能になり、 脳動脈瘤の診断ができます。
![]() |
|
![]() |
![]() |
![]() |
![]() |
※同ビル1F澤渡循環器クリニックと連携しています。
■重心動揺検査
めまい」「ふらつき」の検査です。重心動揺計は、めまい(平衡機能障害)を体の揺れとしてとらえ、その揺れの速さ、方向、集中度合いをコンピュータで解析します。
■下肢加重検査
膝・足関節痛や足部痛の患者様が足のどの部分で体重を支えているかパーセントで表示可能であり、痛みの原因を理解するのに有効です。
![]() |
■頸部超音波検査
脳に血液を送っている頸部の太い血管の動脈硬化の程度を評価する検査です。
![]() |
![]() |

■安静時心電図
心臓内を流れる微少電流を、胸や手足につけた電極から心電計に導いて増幅し波形として記録したものが心電図です。心臓の虚血性変化、不整脈の有無などが分ります。
■自動体外式除細動器(AED)

救命手当の方法としてよく知られているのが、 胸骨圧迫や人工呼吸などの心肺蘇生法です。しかし心臓のリズムが異常な場合はこのような心肺蘇生法に加え、 一刻もはやく除細動器と呼ばれる機械で心臓に電気ショックを与え、 心臓のリズムを元に戻して酸素を全身へ運ぶ血液の流れを再開させる必要があります。 AEDとは、Automated External Defibrillator(自動体外式除細動器)の略で、 電源を入れると音声で操作が指示され、救助者がそれに従って 除細動 (= 傷病 者の心臓に電気ショックを与えること)を行う装置です。














